A professional dental cleaning is one of the best things you can do for your oral health. It removes plaque, tartar, and surface...
What Causes Facial Swelling from a Tooth Infection? Signs You Should Never Ignore
Facial swelling can be alarming—especially when it develops quickly and is accompanied by pain. In many cases, swelling in the face or jaw...
Dental Replacement Options Explained: Implants, Bridges, or Dentures—Which Is Right for You?
Missing teeth can affect much more than your smile. They can impact your confidence, speech, chewing ability, and even your long-term oral...
Cavities (Tooth Decay): Symptoms, Causes, and Treatment
Cavities—also known as tooth decay—are one of the most common dental problems affecting children, teens, and adults alike. While cavities...
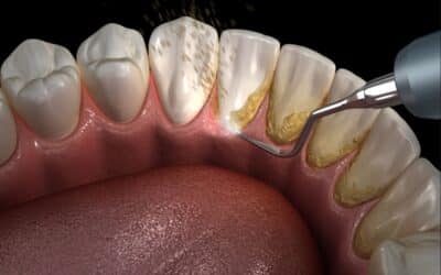
Why Does Plaque Build Up Even After I Brush and Floss?
Many people take pride in their daily oral hygiene routine, brushing twice a day and flossing regularly, yet they still notice plaque...
What Causes a Gummy Smile, and Can It Be Fixed?
A confident smile can make a powerful first impression—but for many people, excessive gum display can cause self-consciousness when...
Is the Pinhole Technique Permanent?
If you have noticed your gums receding or your teeth appearing longer than before, you may be dealing with gum recession. It is a common...
How Poor Oral Hygiene Leads to Plaque and Tartar (Calculus) Buildup
Maintaining good oral hygiene is about more than just fresh breath and a bright smile—it plays a critical role in preventing plaque and...
How an Anterior Bite Plane Helps Correct Malocclusions
Malocclusions, or misalignments of the teeth and jaw, can cause a range of dental issues, from jaw pain to difficulty chewing. One...
Top 10 Benefits of Scaling & Root Planing for Your Oral Health
Scaling and root planing is a typical dental procedure that removes plaque, tartar, and bacteria from your teeth. The cleaning process...
How to Care for Your New Smile After Teeth in a Day Treatment
Teeth in a Day treatment is a transformative procedure that allows patients to replace missing or severely damaged teeth with a brand-new...
Understanding the Safety of Dental X-Rays and CT Scans: Are They Harmful?
Dental X-rays and CT scans are essential tools in modern dentistry, enabling dentists to accurately diagnose and plan treatments. While...
Ready To Schedule A Consult?









